Keramische Veneers im Zahnlabor De Fazio

Veneers

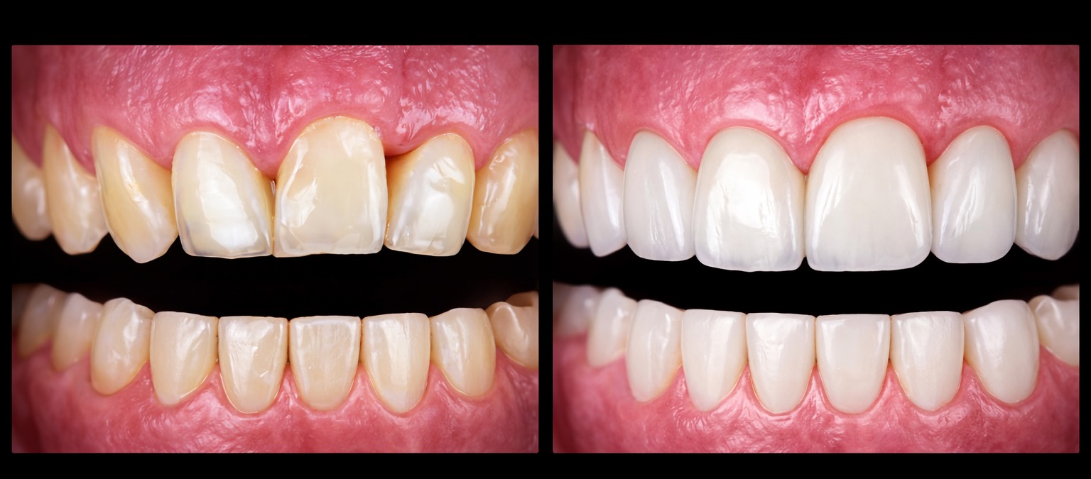
Veneers sind hauchdünne, keramische Verblendschalen, die auf die sichtbare Frontzahnfläche aufgebracht werden. Sie ermöglichen ästhetische Korrekturen, ohne den Zahn unnötig zu beschleifen.

Mit Veneers lassen sich Form, Farbe und Stellung der Frontzähne sehr präzise gestalten – für ein natürlich wirkendes Lächeln, das sich harmonisch ins Gesicht einfügt. Die feine Keramik sorgt für ein lebendiges Lichtspiel und eine Oberflächenstruktur, die dem natürlichen Zahn sehr nahekommt.

Im Zahnlabor De Fazio werden Veneers individuell geschichtet und charakterisiert. So entstehen Arbeiten, die nicht wie Zahnersatz wirken, sondern wie „eigene“ Zähne – nur in der gewünschten Form und Farbe.

Unsere Veneer-Leistungen

Je nach Ausgangssituation und ästhetischem Zielbild stehen unterschiedliche Versorgungsvarianten zur Verfügung:

  • Individuell geschichtete Keramikveneers – maximale Ästhetik und Natürlichkeit
  • Minimalinvasive Non-Prep-Veneers – in geeigneten Fällen nahezu ohne Beschleifen
  • Teilveneers – z. B. zur lokalen Formkorrektur einzelner Bereiche
  • CAD/CAM-unterstützte Veneers – digitale Planung und präzise Fertigung
  • Mock-ups und Testveneers – zur Visualisierung des geplanten Ergebnisses
  • Farbanalyse und Charakterisierung – z. B. mit individueller Fotodokumentation

Vorteile keramischer Veneers

Veneers sind eine bewährte Option der ästhetischen Zahnmedizin. Sie bieten eine Kombination aus minimaler Invasivität und hoher Gestaltungsfreiheit:

  • Substanzschonend – im Vergleich zu Vollkronen deutlich geringerer Abtrag von Zahnhartsubstanz
  • Natürliche Ästhetik durch transluzente, lichtleitende Keramiken
  • Stabile Farbe – Keramikverblendungen sind langfristig farbbeständig
  • Individuelle Gestaltung von Form, Länge und Stellung der Frontzähne
  • Glatt polierbare Oberflächen – angenehm im Gefühl und gut zu reinigen

Für Patientinnen und Patienten bedeutet das: ein ästhetisches Lächeln, das sich im Alltag natürlich anfühlt und langfristig Freude macht.

Typische Einsatzgebiete von Veneers

Veneers eignen sich für eine Vielzahl ästhetischer Fragestellungen im Frontzahnbereich:

  • Verfärbte Zähne, die sich mit Bleaching nur eingeschränkt aufhellen lassen
  • Leichte Stellungsanomalien oder Rotationen in der Front
  • Formkorrekturen – z. B. bei zu kurzen oder keilförmig abgegriffenen Zähnen
  • Schließen von Diastemen und kleinen Lücken
  • Ausgleich von alten, inhomogenen Frontzahnfüllungen

Wir unterstützen Ihre Praxis bei der Auswahl geeigneter Fälle – inklusive Abstimmung von Zahnform, -farbe und gewünschter Wirkung des späteren Lächelns.

Vom Wunschlächeln zum fertigen Veneer

Ein überzeugendes Veneer-Ergebnis ist das Resultat eines gut abgestimmten Workflows zwischen Praxis, Labor und Patient:

  • Analyse und Planung mit Fotodokumentation, Wax-up oder Digital-Design
  • Mock-up/Testphase – das geplante Lächeln wird vorab erlebbar gemacht
  • Präparation und Abformung bzw. Scan nach vorab definiertem Konzept
  • Individuelle Fertigung der Veneers im Labor mit Schichtung und Charakterisierung
  • Einprobe, Korrektur und endgültige Eingliederung in enger Abstimmung mit der Praxis

So entsteht ein Ergebnis, das nicht nur auf Fotos gut aussieht, sondern auch im täglichen Leben überzeugt.

Zahntechnik mit Qualitätsanspruch. Individuelle Veneers für ein natürliches, harmonisches Lächeln.
Sprechen Sie uns an